Creo que fue el martes que me llegó la newsletter de Wired.com. De entre todas las siempre interesantes noticias de Wired me llamó la atención una que rezaba: «Cuba Has a Lung Cancer Vaccine – And America Wants It» (Cuba Tiene una Vacuna para el Cáncer de Pulmón – Y Amércia la quiere).
En el Brain Feeling de hoy sin que sirva de precedentes :-) ; dejemos la neurociencia a un lado y bajemos hacia los pulmones; pasando posiblemente por la política.
El hecho es que Cuba ha tenido durante varios años una prometedora vacuna terapéutica contra el cáncer de pulmón. El embargo comercial liderado por USA durante 55 años se ha asegurado que Cuba estiviése en el lugar que debía estar. Hasta ahora.
La Administración Obama ha intentado normalizar las relaciones con la nación insular. El mes pasado, durante la visita del Gobernador de Nueva York (Andrew Cuomo) a la Habana, el Instituto del Cáncer de Roswell Park cerró un acuerdo con el Centro de Inmunología Molecular de Cuba para desarrollar una vacuna del cáncer de pulmón y empezar ensayos clínicos en USA. Esencialmente, los investigadores de USA quieren tener la aprovación de la Administración de Comida y Medicamentos para introducir en USA el Cimavax.
«La posibilidad de evaluar una vacuna como esta es una visión muy excitante» afirma Candance Johnson, CEO del Roswell Park. Esta excitación está causada por las investigaciones conducidas hasta el momento sobre el fármaco que demuestran que tiene una toxicidad baja y es relativamente barata de producir y almacenar.
El Centro de Inmunología Molecular entregará a Roswell Park, toda la documentación: cómo se produce, datos de toxicidad, resultados de ensayos previos; para poder hacer una petición a la FDA. Se espera tener la aprobación para testar el Cimavax entre los próximos 6 y 8 meses y empezar los ensayos clínicos en un año.
¿Cómo llegó Cuba a tener un fármaco de última generación en inmune-oncología?
Se ha promocionado a Cuba mayoritariamente por sus puros, su ron y el baseball. Yo siempre he oído que tenían de los mejores médicos del mundo. Pues os confirmo que a parte del atractivo souverinistico Cuba tiene una de las mejores y mas inventivas investigaciones médicas y biotecnologicas del mundo. Paradójico si tenemos en cuenta que la mediana de salario es 20$ mensuales.
Cuba gasta una pequeña parte de lo que USA gasta en cuidados de salud para sus ciudadanos; y la mediana de vida está par a par. Johnson dice: «Han tenido que hacer más con menos […] por ello han tenido que ser más innovadores en cómo encontrar modos de crear. Durante más de 40 años han tenido una comunidad inmunológica preeminente»
A pesar de las décadas de sanciones económicas, los hermanos Castro han priorizado la investigación biotecnológica y médica, particularmente la medicina preventiva. Después de 1981 cuando la fiebre de dengue mató a casi 350.000 cubanos, el gobierno estableció el Frente Biológico, un esfuerzo para concentrar los esfuerzos de diferentes agencias hacia metas específicas.
Su primer gran logro fue la exitosa (e inesperada) producción del interferón, una proteína que juega un papel importante en la respuesta inmune de nuestro cuerpo.
Desde entonces, los inmunólogos cubanos han llevado a cabo diversos logros más:
- La Vacuna de la Meningitis B
- La Vacuna de la Hepatitis B
- Anticuerpos monoclonales para el transplante de riñones.
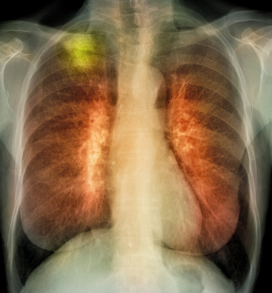
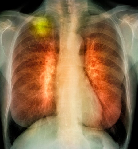
Hay que remarcar que aunque los habanos cubanos sean tan buenos, fumar es muy muy malo para nosotros. El cáncer de pulmón es la cuarta causa de muerte en Cuba.
Los investigadores médicos del Centro de Inmunologia Molecular han trabajado en el Cimavax durante los 25 años previos a que el ministerio de salud lo hiciese disponible al público, gratuitamente, en 2011. Cada punción le cuesta al gobierno 1$.
Una Fase II de Ensayos en 2008 demostró que los pacientes de cáncer de pulmón que recibían la vacuna vivían una media de 4 a 6 meses más que aquellos que no la recibían. Este hecho provocó que Japón y algunos países Europeos iniciasen ensayos clínicos con el Cimavax también.
¿Cómo funciona Cimavax?

Para ser honestos, Cimavax probablemente no cambiará las reglas del juego en los fármacos contra el cáncer. La vacuna no ataca al tumor directamente, va contra una proteína que los tumores producen y que circula por la sangre. Esta acción hace que nuestro cuerpo libere anticuerpos contra una hormona llamada: factor de crecimiento epidermal, que normalmente causa el crecimiento de las células, y que sin control causa el cáncer.
Aunque muchas personas creamos que una vacuna es algo que previene una enfermedad, técnicamente una vacuna es una sustancia que estimula de algún modo nuestro sistema inmune.
En estos tres estadios:
- Estadio Off: no existe factor de crecimiento.
- Estadio I: Aparece el factor de crecimiento (GF en magenta) se adhiere y lo hace crecer.
- Estadio II: el GF aumenta su presencia, la masa es aún más grande.
Las razones por las que Cuba no ha testado el Cimavax con fines preventivos más allá del cáncer de pulmón han sido principalmente financieras.
Aún hay más
Cimavax no es el único fármaco con potencial dentro de la farmacologia Cubana. Otras vacunas como el Racotumomab que se entremezcla con un lípido concreto de las membranas de las células tumorales.
«Investigadores de todo el mundo están intentando romper la cáscara de la nuez del cáncer […] los Cubanos piensan de modos nuevos e inteligentes»
Aunque el presidente Obama haya usado su poder ejecutivo para levantar algunas de las restricciones contra el equipamiento médico y de investigación, el Congreso debería levantar el embargo Cubano previamente a que la colaboración se pueda hacer más estrecha.
Fabuloso Artículo Original de Neel V. Patel: «Cuba Has a Lung Cancer Vaccine – And america Wants It» en Wired.com.
Buen Sábado!





Debe estar conectado para enviar un comentario.